
Composite Bonding
Composite Bonding
Changing the Face of Cosmetic Dentistry Across London
Dr. Simon is changing the face of composite bonding across London! His results are more natural, longer-lasting, and will leave you feeling more confident than ever. Composite bonding is a cosmetic dental treatment where Dr. Simon applies composite resin directly onto your teeth to enhance the shape, colour, and proportions, all without drilling or shaving any enamel.
This minimally invasive approach is the perfect solution for improving your smile, especially if you already have healthy teeth and don’t want to lose any enamel. We don’t shave or drill any of your teeth, so it’s a safe and long-lasting way to achieve a beautiful smile while preserving your natural tooth structure.
Why Choose Dr. Simon for Composite Bonding?

Dr. Simon Blank’s approach to composite bonding stands out in the field. With over 10 years of experience, he has developed a completely freehand technique, ensuring high-quality, natural results for every patient. Here’s what sets Dr. Simon’s composite bonding apart:
Completely Freehand Technique
Unlike many other dentists who use molds or pre-shaped templates, Dr. Simon works freehand to apply the composite material. This allows him to have total control over the aesthetics, shaping each tooth individually to ensure a natural, better-shaped, and thinner composite. He also ensures the proportions of your teeth are built perfectly to fit your face and the shape of your mouth, creating a more balanced and harmonious smile.
Longer-lasting Results
When choosing Dr. Simon’s technique, composite bonding can last 5-7 years or even longer. The method of composite placement ensures it is well bonded to the tooth, with a smoother finish that lasts. Dr. Simon only uses the highest quality composite materials available on the market. His technique, refined over 10 years, provides you with a long-lasting, more reliable solution for improving your smile. Remember, cheaper composite bonding often won’t last as long and will need replacing sooner- meaning Dr. Simon's bonding represents a better long term investment.
Natural-looking Results
Dr. Simon pays close attention to the details, carefully shaping your teeth while keeping the composite layer thin and natural. The result? A smile that looks entirely like your own, only enhanced. This ensures the bonding blends seamlessly with your natural teeth, giving you the perfect version of your smile.
What is Composite Bonding?

What is Composite Bonding?

Benefits of Composite Bonding with Dr. Simon Blank
Customisable Shape & Colour
With composite bonding, you can choose the exact shape and colour of your composites, giving you a completely customised result that suits your smile perfectly.
No Drilling Required
Dr. Simon’s technique doesn’t require any drilling or shaving of your natural teeth, making it a minimally invasive option for enhancing your smile.
Quick Treatment
Composite bonding can often be completed in just one visit, meaning you can walk in and leave the same day with a brand-new smile.
Long-Lasting Results
Unlike many other dentists who offer composite bonding with poorer aesthetics and materials, Dr. Simon’s approach ensures your results will look better and last longer, providing you with better value for money over time.
What to Expect During Your Composite Bonding Appointment
Consultation with Dr. Simon
Your journey begins with a consultation, where Dr. Simon will assess your smile and discuss your desired outcome. You’ll have the opportunity to look through a range of different cases to ensure you know exactly the look you’d like to achieve. Dr. Simon will explain the composite bonding process in detail and answer any questions you may have.
Treatment Plan & Freehand Application
Once you’ve agreed on the desired outcome, Dr. Simon will apply the composite material freehand to the areas needing enhancement. This approach gives him total control over the shape and proportions of your smile. He will carefully shape and refine the material to ensure a perfect fit and a natural finish. There will be no teeth drilling or injections, making this a comfortable and minimally invasive procedure.
Final Touches & Polishing
After the composite is applied and shaped, Dr. Simon will polish it to match the natural shine of your teeth. The result? A beautiful, confident smile that blends seamlessly with your natural teeth.
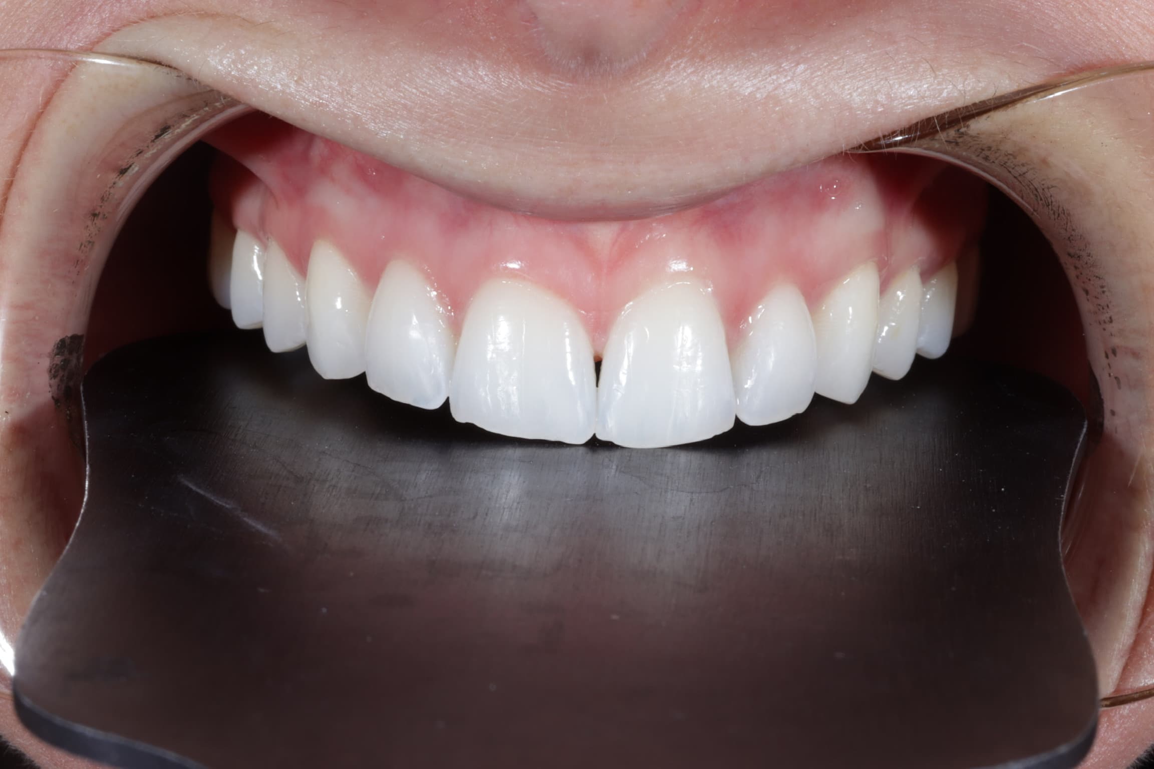
Real Results: Composite Bonding Case Studies
Composite Bonding Case Studies

The natural smile makeover
Composite edge bonding on the top 6 teeth just to even out the edges of the teeth and improves the shapes. Composite edge bonding is a minimally invasive treatment where we only add composite to the bottom third of the tooth- meaning the result is very natural.



Rounded composite bonding
Composite bonding was used on these examples to give a slightly more rounded softer finish. Often the rounder finish feels more feminine and natural. However on men can also give a natural appearance as opposed to more squared off shapes. Look at the high quality bonding result and how the composite looks so much and shiny on the teeth- this is why our composite bonding has such good longevity and stain resistance.

Natural but perfect composite bonding - ‘your teeth but perfect’
In these examples we used composite bonding with perfect shaped edges to ensure the teeth look natural but enhanced. This is one of my most requested styles where people want their teeth to look perfect but not overly ‘done’. In these examples the thickness of material is key- keeping the composite thin creates a more natural feel and i often layer two different composites with the top layer being a clear translucent colour for a softer finish.



Natural composite bonding for men with a white, fresh finish.
These examples are great for men who are looking for a white yet natural finish. Overly white and bulky teeth can change how people will judge your smile. We've used a white colour with more natural shapes to create the wow factor but still keeping a professional slick look.

Gaps
We've used composite bonding here to close gaps and improve the proportions of your teeth. In these cases invisalign was not used because even though there were spaces present, the positions of the teeth allowed me to use composite to perfect the proportions. These results are created in one appointment with no drilling to your teeth.
Worn Teeth
When you have worn down teeth aesthetically your teeth may look short and feel rough/sharp. We can use composite to both aesthetically build up the teeth to replace the lost enamel but also help improve the strength of your teeth. Check out this case where I've used composite bonding to safely improve the appearance and repair the worn teeth.

The Hollywood Insta Smile
Shade - Extra white
Bigger brighter teeth that people will notice for the ‘wow factor’ Treating the top 10 teeth will give your smile more volume and widen your smile- so you see more teeth. I still make sure to keep the shapes natural to make your smile perfect.